Comunicaciones: Casos clínicos

Derrame pericárdico (Póster)

Ámbito del caso (Atención Primaria, servicios de Urgencias o atención domiciliaria)

Urgenicas hospitalarias.

Motivos de consulta

Mujer de 54 años. Acude a urgencias del hospital por dolor abdominal de varios días de evolución en progresión. Presentaba una distensión abdominal, ascitis, edema y tumefacción de EEII desde hace 1 mes.

Historia clínica

Enfoque individual: antecedentes personales, anamnesis, exploración, pruebas complementarias, etc.

Acudió a CAM por distensión abdominal. En Eco nivel IV: útero normal. Ovario derecho normal. Ovario izquierdo: Lesión sólida mal delimitada de límites irregulares y vascularización escasa (score 1/4) de dudosa dependencia de 28 x 19 x 25 mm. Ascitis moderada hasta cúpulas diafragmáticas.

Enfoque familiar y comunitario: estudio de la familia y la comunidad (si fuese necesario)

Se le realizó un TC toracoabdominal unos días antes: Lesión sólida del anejo izquierdo con moderada cantidad de ascitis y derrame pleural derecho. Importante derrame pericárdico que condiciona estasis hepático. Aumento de densidad de morfología alargada adyacente a los segmentos VI-VII que podría corresponder a implante. Pequeñas adenopatías retroperitoneales. 

Juicio clínico, diagnóstico diferencial, identificación de problemas

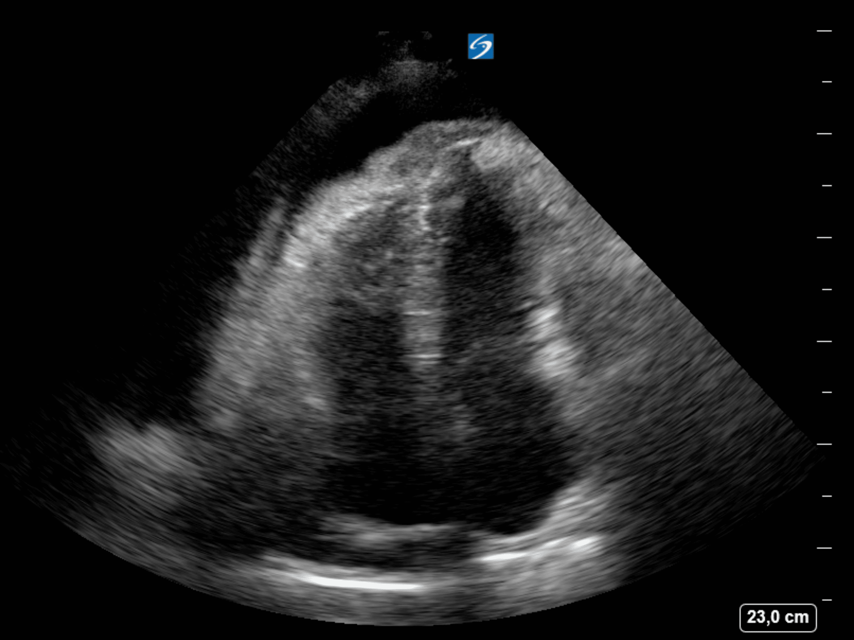
Se canaliza vía periférica para extracción de AS (x4), se administra SSF 500 ml iv. En urgencias se realiza un ecocardiograma EcoTT donde se visualiza un derrame pericárdico masivo, de hasta 6 cm a nivel inferior, circunferencial y con fibrina/implante a nivel del pericardio. Datos de colapso de cavidades derechas, swinning heart, variación de flujo transmitral 40% y TT 50%. VC dilatados, con colapso disminuido. Función biventricular normal.
ECG: sinusal RX: Cardiomegalia, senos costofrénicos libres, sin infiltrados ni condensaciones.
Realizada IC a Cardiología.

Tratamiento y planes de actuación.

Deciden ingreso en Observación para pericardiocentesis evacuadora programada en UCC el día 6/10/2022.
Valorado por INP a Cardiologia, se solicita ETT y consulta en cardiooncologia. 

Evolución

Debido a los resultados de las imágenes y la posibilidad de repetición y recidiva del derrame así como la falta de diagnóstico de la enfermedad subyacente se decide ingreso en MI para completar estudio y vigilancia sintomática.

Conclusiones y aplicabilidad para la medicina de familia

La relevancia de la Ecografía clínica en los servicios de Urgencia para realizar diagnósticos de un modo rápido y más acertado se está imponiendo con fuerza en los últimos años.

La realización de difusión de protocolos dirigidos en el servicio es necesaria por la importancia de una homogenización de esta herramienta en el personal de un servicio de Urgencias.

Con este caso queremos mostrar la importancia de las ecografías seriadas para ofrecer un diagnóstico clínico evolutivo y un pronóstico más acertado.

 


Comunicaciones y ponencias semFYC: 2025; Comunicaciones: Casos clínicos. ISSN: 2339-9333

Autores

García Echeverría, Pablo
Hospital Universitario de Navarra (HUN). Pamplona
Tiberio Berrade, Miguel
Hospital Universitario de Navarra (HUN). Pamplona
Herrero Azpiazu, Alfonso
Hospital Universitario de Navarra (HUN). Pamplona