V Jornadas de Ecografía de la semFYC

9 y 10 de febrero de 2024

Comunicaciones: Casos clínicos

«Doctor, tengo un bulto en el brazo» (póster)

Ámbito del caso

Atención Primaria

Motivos de consulta

Masa en el brazo izquierdo.

Historia clínica

Enfoque individual

Antecedentes relevantes: Hermano con 6 años intervenido de criptorquidia bilateral. Primo de 4 años con Fibrosis Qúistica.

Anamnesis: Escolar de 10 años que consulta porque refiere notarse una tumoración dura, indolora en el brazo izquierdo de dos meses de evolución, valorado primero en urgencias de centro de salud y a los 4 días en su MAP.

Exploración Física: Masa de consistencia dura, no móvil ni dolorosa a la palpación de unos 4 cm de diámetro en cara interna del brazo izquierdo a nivel periaxilar.

Con el objetivo de no irradiar al escolar, se decide realizar una ecografía desde el centro de salud, para poder obtener una mayor aproximación diagnóstica.

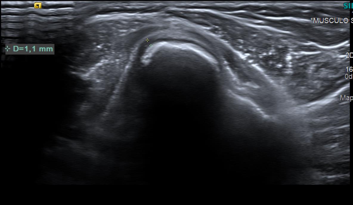
Hallazgos ecográficos

Ecografía: La tumoración referida corresponde a una excrecencia ósea con ribete hipoecoico circunante de 1 mm de espesor, sugestiva de lesión osteocondral.

Pruebas complementarias

Radiografía de Miembro superior izquierdo: Se visualiza lesión lítica metafiso-diafisaria en húmero izquierdo expansiva con excrecencias óseas y margen estrecho con hueso sano.

Juicio clínico, diagnóstico diferencial, identificación de problemas

Juicio clínico: Exostosis múltiple chereditaria. Osteocondromas múltiples (ORPHA 321) de novo.
Diagnóstico diferencial: Osteocondroma plano vs Displasia fibrosa.

Tras visualizar alteración en la ecografía del centro de salud, se deriva a radiología para realizar ecografía reglada y completar estudio con radiografía, así como realizar derivación para valoración por parte de Traumatología del Hospital Santa Lucía.

Tratamiento y planes de actuación

Analgesia a demanda si dolor y observación y seguimiento cercano por parte de Traumatología.

Evolución

Desde traumatología se deriva a la subunidad de tumores infantil que se encuentra en el Hospital así como al servicio de genética médica donde se ha acabado de filiar el juicio diagnóstico. El seguimiento se realizará por parte de traumatología infantil. 

Conclusiones (y aplicabilidad para la Medicina de Familia)

Los osteocondromas pueden causar dolor, problemas funcionales y deformidades que pueden ser indicativas de tratamiento quirúrgico. La complicación más grave es la transformación del osteocondroma en un condrosarcoma secundario periférico.

Gracias a la ecografía de Atención Primaria, se ha podido llegar al diagnóstico de manera precoz así como acortar los tiempos de espera.


Comunicaciones y ponencias semFYC: 2025; Comunicaciones: Casos clínicos. ISSN: 2339-9333

Autores

Ríder Garrido, Faustino
CS San Antón. Cartagena. Murcia
Celada Roldan, Carmen
CS San Antón. Cartagena. Murcia
Cerezuela Abarca, M Ángeles
CS San Antón. Cartagena. Murcia