V Jornadas de Ecografía de la semFYC

9 y 10 de febrero de 2024

Comunicaciones: Casos clínicos

El bulto que no molesta (oral)

Ámbito del caso

Atención Primaria.

Motivos de consulta

Bulto en axila.

Historia clínica

Enfoque individual

Varón de 52 años, sano, sin hábitos tóxicos. Consulta por bultoma en axila izquierda que no molesta ni duele. Afebril sin asociar otros síntomas. Sin clínica infecciosa, ni pérdida ponderal ni sudoración nocturna. Niega viajes, picaduras o contacto con animales. Hace 6 meses paucisintomático, con hallazgo incidental de PCR elevada en dos analíticas consecutivas (73 y 102 respectivamente). 
Exploración física: Normal salvo axila izquierda con varios bultomas palpables, de tamaño variable, no dolorosos, adheridos a planos profundos. No rubor ni calor local. 

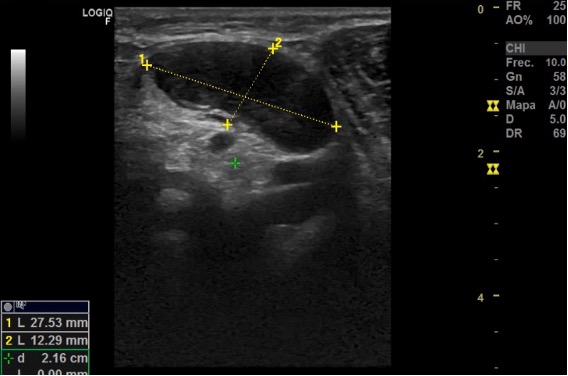
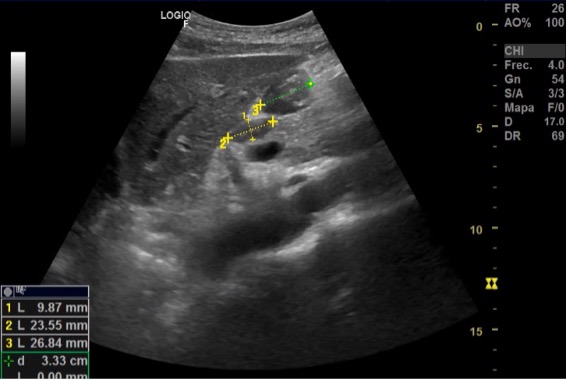
Hallazgos ecográficos

Ecografía: Conglomerado adenopático en axila izquierda. Adenopatía más grande (30 x 40 mm) hipoecogénica, redonda con pérdida del hilio graso, de aspecto infiltrativo y con captación Doppler. Adenopatías infraclaviculares de 27,5 x 12,2 y una glomerulación de 13,9 x 17,1 mm hipoecogénicas con pérdida de estructura normal. Adenopatías perihiliares hepáticas de 9 x 23 mm y otro 26 x 17; perihiliar esplénica de 12 x 4 x 5 mm, e inguinal izquierda de 9,3 x 7,8 mm.

Pruebas complementarias

Analíticas previas normales salvo PCR elevados en dos ocasiones 73 y 102 respectivamente.

Juicio clínico, diagnóstico diferencial, identificación de problemas

Diagnóstico sospecha: Neoplasia linfoproliferativa
Diagnóstico diferencial:

  • Infeccioso – EBV, CMV, Toxoplasma, Brucelosis, Sífilis, TBC
  • Autoinmune – LES
  • Metástasis de ca. pulmón, gástrico, tiroideo o melanoma

Tratamiento y planes de actuación

Derivación urgente del paciente a Medicina Interna.

Evolución

Ante las adenopatías objetivables, Medicina Interna amplió el estudio. Analíticamente descartaron patología infecciosa y el Body-TC informó adenopatías patológicas infra y supradiafragmáticas. Precisó 3 biopsias de la adenopatía axilar para confirmar el diagnóstico de Linfoma de Hodgkin. El paciente ha iniciado quimioterapia, pendiente de evolución y respuesta.

Conclusiones (y aplicabilidad para la Medicina de Familia)

Las adenopatías son un motivo de consulta frecuente en Atención Primaria. Generalmente de origen infeccioso, en paciente < 30 años. A partir de los 40 años, aumenta la probabilidad de malignidad; más en localización supra y/o infraclavicular. Sin embargo, anamnesis y exploración física, son limitadas cuando se trata de adenopatías no palpables por tamaño o localización. La ecografía permite medir de forma precisa tamaños, localizar aquellas no palpables (p. ej: abdominales), y orientar ante características patológicas vs normales (forma alargada, bordes bien definidos, presencia de hilio hiperecogénico, corteza hipoecogénica y vascularización hiliar). Todo ello, ayuda a derivar precozmente una sospecha de malignidad, mejorando el pronóstico.


Comunicaciones y ponencias semFYC: 2025; Comunicaciones: Casos clínicos. ISSN: 2339-9333

Autores

De Boer X, Johanna Alida
CS La Chopera. Alcobendas. Madrid
Moreno Cano, María Del Pilar
CS El Molar. Madrid
Tortosa De Lucas, Carlos
CS La Chopera. Alcobendas. Madrid