V Jornadas de Ecografía de la semFYC

9 y 10 de febrero de 2024

Comunicaciones: Casos clínicos

Etiología no habitual de un cólico hepático (póster)

Ámbito del caso

Atención Primaria

Motivos de consulta

Dolor abdominal

Historia clínica

Enfoque individual

Varón de 71 años que acude a consulta por vómitos de 6 días de evolución, dolor abdominal en hipocondrio derecho y fiebre autolimitada a un día. A nuestra valoración mejoría clínica desde el día previo. No diarrea u otra sintomatología acompañante.

Desde hacía dos años el paciente había tenido un par de episodios de dolor abdominal autolimitado, derivado en una ocasión a Urgencias por sospecha de colecistitis aguda, descartándose tras ecografía normal.

Antecedentes personales: hipertensión arterial, diabetes mellitus tipo 2, dislipemia, insuficiencia renal crónica, hiperuricemia.

Hallazgos ecográficos

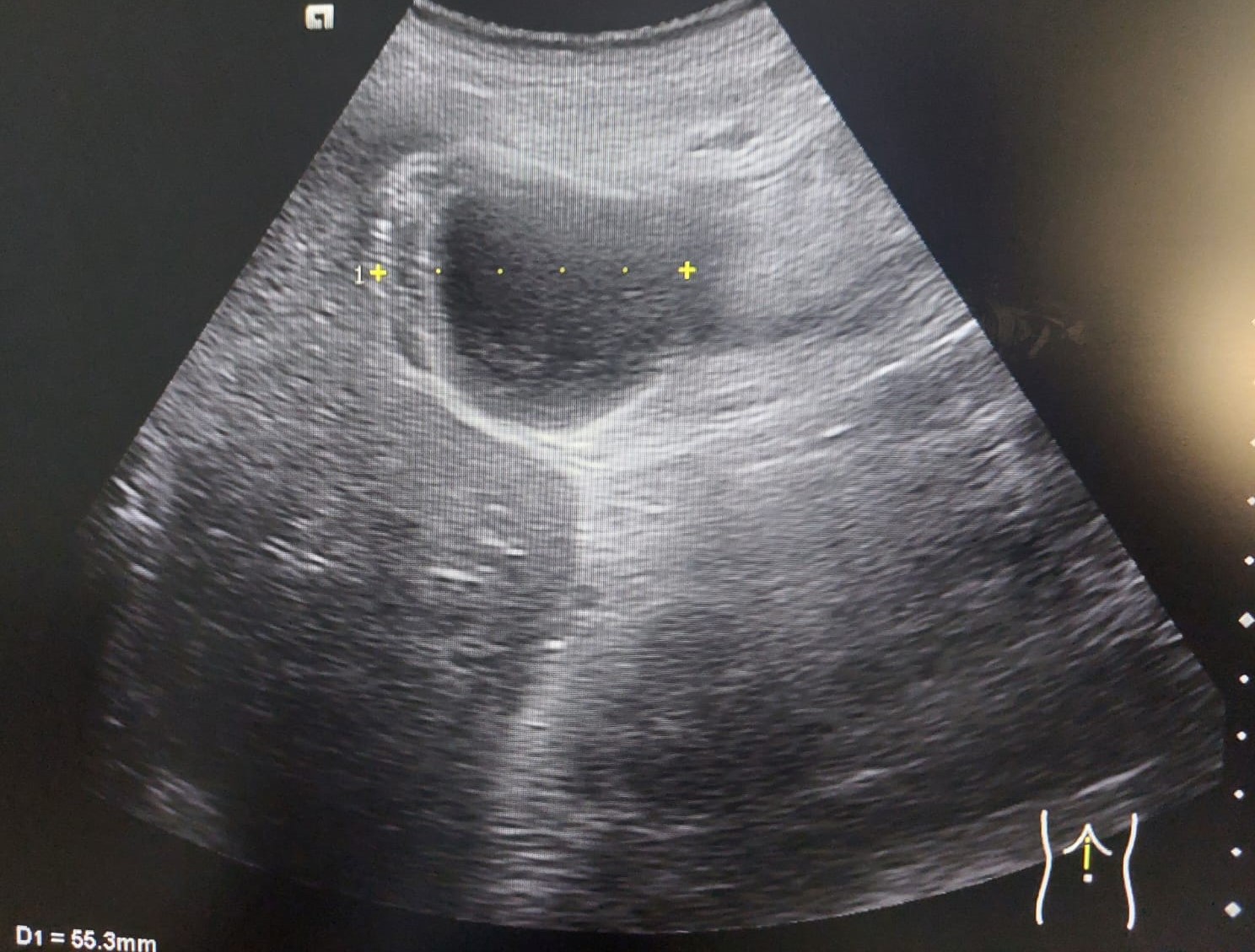
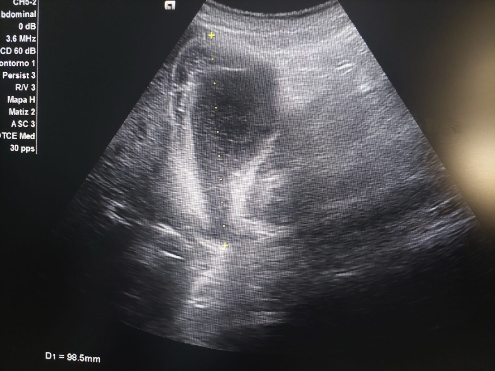
Se realiza una ecografía clínica abdominal en la que destaca un engrosamiento de la pared anterior de la vesícula biliar, sin imágenes hiperecogénicas en su interior. Parénquima hepático y riñón derecho con morfología y ecoestructura normal.

Pruebas complementarias

Se solicita analítica de sangre: transaminasas ligeramente elevadas (GOT 53 U/L, GPT 66 U/L, GGT 91 U/L). Resto sin interés.

Juicio clínico, diagnóstico diferencial, identificación de problemas

Juicio clínico: Sospecha de colecistitis subaguda.

Diagnóstico diferencial: Colecistitis aguda litiásica, pancreatitis, cólico renal derecho...

Tratamiento y planes de actuación

Se deriva a cirugía que solicita ecografía reglada informándola como vesícula biliar distendida, con engrosamiento marcado y limitado a la pared del fundus vesicular asociado a barro biliar. Hallazgos no concluyentes para colecistitis aguda, y podría estar en relación con adenomiomatosis del fundus asociado a barro biliar, o menos probable colecistitis subaguda.

Tratamiento: Colecistectomía laparoscópica donde se hayó colecistitis crónica con adherencia del duodeno a primera porción duodenal.

En anatomía patológica concluyen colecistitis crónica con signos histológicos de agudización y microlitiasis adheridas en pared.

Evolución

El paciente evolucionó de manera favorable, con desaparición de la sintomatología.

Conclusiones (y aplicabilidad para la Medicina de Familia)

En este caso, la ecografía nos ha permitido orientar el diagnóstico y sospechar la causa de la sintomatología del paciente, descartando el amplio diagnóstico diferencial. Se trata de un caso complicado ya que la clínica le había aparecido solamente en 2 ocasiones y se autolimitaba hasta quedar el paciente asintomático. No obstante, gracias al estudio ecográfico pudimos sospechar la causa y derivar a cirugía del aparato digestivo, quien extrajo la vesícula y cuyo análisis anatomopatológico finalmente concluyó el diagnóstico.


Comunicaciones y ponencias semFYC: 2025; Comunicaciones: Casos clínicos. ISSN: 2339-9333

Autores

Martínez Ruiz, Marina
CS Vistalegre-La Flota. Murcia
Sanchez Prieto, Maria Dolores
CS Vistalegre-La Flota. Murcia
Sanchez Esteban, Maria Tomasa
CS Vistalegre-La Flota. Murcia