Comunicaciones: Casos clínicos

Hematuria: en busca del origen (Póster)

Ámbito del caso (Atención Primaria, servicios de Urgencias o atención domiciliaria)

Atención Primaria.

Motivos de consulta

Hematuria.

Historia clínica

Antecedentes personales relevantes, anamnesis, exploración física y lugar que ocupa en ella la ecografía

Hombre de 69 años, hipertenso, dislipémico, no fumador. Aterosclerosis.
Tratamiento: Tadalafilo, Tamsulosina 0,4 mg, Enalapril 10 mg, AAS 100 mg, Rosuvastatina 20 mg, Omeprazol 20 mg.

Anamnesis: hombre de 69 años que acude por clínica de hematuria franca sin coágulos, de días de evolución. No hay fiebre, clínica miccional ni síntomas constitucionales. La exploración del abdomen es anodina.

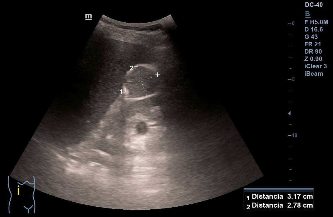
Descripción de los hallazgos ecográficos y las imágenes más relevantes para la resolución del caso

Ante la presencia de hematuria decidimos realizar una ecografía abdominal en el centro de salud. En la vejiga, insuficientemente replecionada, no encontramos lesiones. La próstata también es de tamaño y aspecto normales. En el riñón derecho se observa una masa de unos 3 cm con bordes irregulares.

Otras pruebas complementarias realizadas (si existen)

Tras estos hallazgos se decide derivación preferente a Urología, quien realiza TC que confirma una masa renal de 5 x 3,3 x 3 cm sugestiva de carcinoma renal no metastásico. Además realizan cistoscopia donde se objetiva una lesión papilar vesical de 1 cm, y otra zona eritematosa, sobreelevada y con papilas, en el fondo vesical.

Juicio clínico, diagnóstico diferencial, concordancia con el hospital (en su caso)

Juicio clínico: tumor vesical sincrónico con tumor renal.

Decisiones adoptadas: tratamiento, planes de actuación

El paciente es intervenido de nefrectomía derecha. El estudio de la biopsia vesical informa de carcinoma urotelial papilar no invasivo de alto grado.

Evolución y seguimiento

Desde entonces, ha sido sometido a nuevas RTU vesicales e instilaciones de BCG, y actualmente continúa en seguimiento.

Conclusiones y aplicabilidad para la medicina de familia

  • Entre un 1,7 y un 17,6% de los pacientes diagnosticados de cáncer presentan neoplasias sincrónicas.
  • Los tumores renales que invaden el sistema colector se presentan con hematuria en un 40% de los casos.
  • Entre el 10 y el 20% de los pacientes con hematuria macroscópica presentan cáncer vesical. El riesgo aumenta en varones, > 50 años y fumadores.
  • El uso cada vez más frecuente de pruebas de imagen supone un problema de sobrediagnóstico y sobretratamiento. Se ha incrementado el diagnóstico de masas renales pequeñas, sin que esto se haya acompañado de una disminución de la mortalidad.
  • Con mayor experiencia quizá se podrían haber diagnosticado ambas lesiones, si bien no supuso una demora en el manejo de los tumores. La ecografía en Atención Primaria tiene el potencial de acelerar el proceso diagnóstico y su tratamiento.


Comunicaciones y ponencias semFYC: 2025; Comunicaciones: Casos clínicos. ISSN: 2339-9333

Autores

Valdés Sanz, Irene
Hospital Universitario Infanta Leonor. Madrid
Iglesias Piñeiro, María José
CS José María Llanos. Madrid
Yagüe Monteso, Rodrigo
Hospital Universitario Infanta Leonor. Madrid