Comunicaciones: Casos clínicos

Hiperplasia nodular focal como hallazgo casual (Oral)

Ámbito del caso (Atención Primaria, servicios de Urgencias o atención domiciliaria)

Atención Primaria.

Motivos de consulta

Alteración de pruebas de función hepática.

Historia clínica

Antecedentes personales relevantes, anamnesis, exploración física y lugar que ocupa en ella la ecografía

Paciente de 39 años, sin alergias medicamentosas conocidas y sin antecedentes medicoquirúrgicos de interés. A tratamiento con anticonceptivo oral únicamente. Acude a consulta por alteración de pruebas de función hepática en analítica realizada en el trabajo (gamma-glutamil transferasa (GGT). Exploración física sin alteraciones. Realizamos ecografía clínica abdominal, en concreto, para evaluar hígado y vía biliar. 

Descripción de los hallazgos ecográficos y las imágenes más relevantes para la resolución del caso

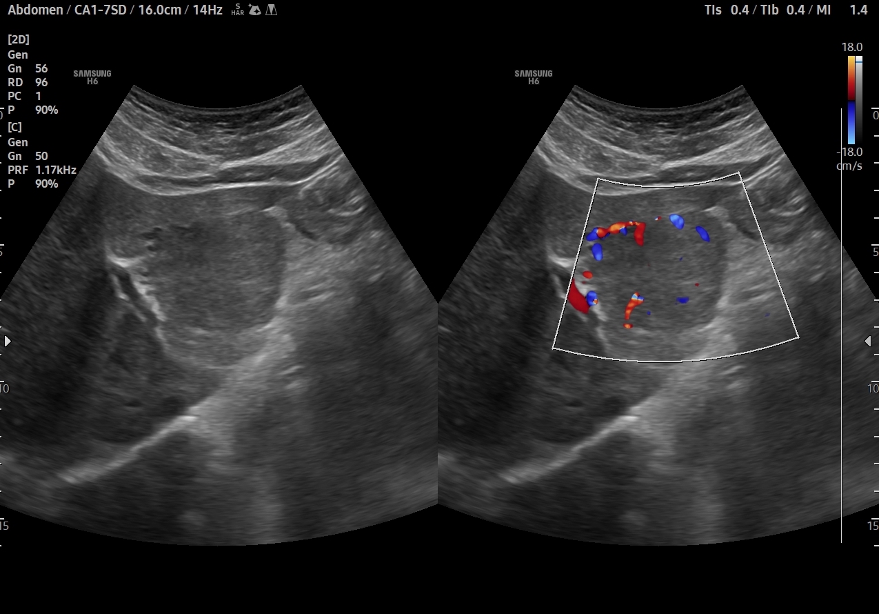
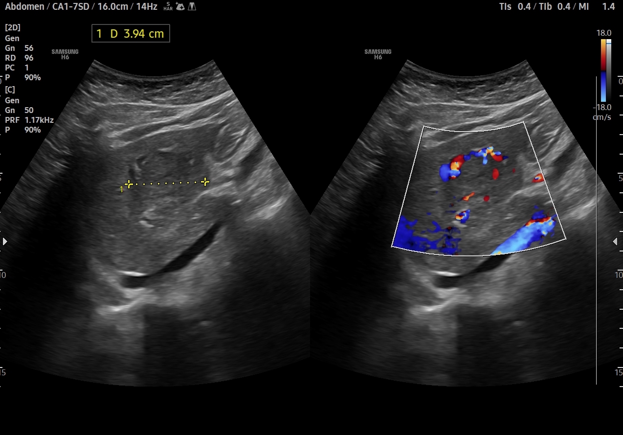
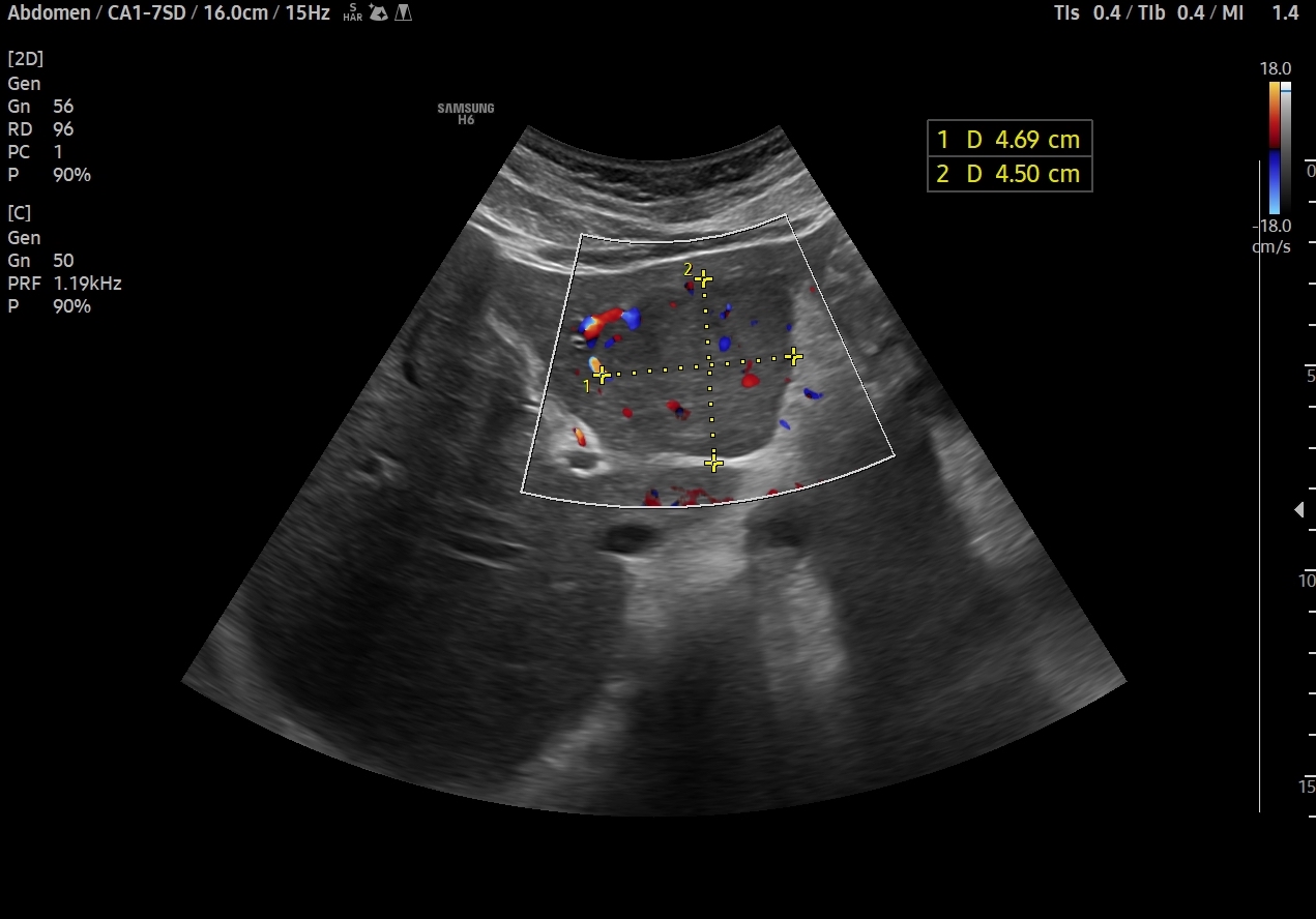
En el lóbulo hepático izquierdo visualizamos lesión focal iso-hipoecogénica respecto al parénquima hepático circundante que mide 4,6 x 4,5 x 3,9 cm y que presenta un aumento de la señal Doppler. Vemos la imagen tanto en cortes transversales como en cortes longitudinales, también con el modo Doppler activo. Resto de parénquima hepático y vía biliar de aspecto normal, sin otras alteraciones. 

Otras pruebas complementarias realizadas (si existen)

Solicitamos ecografía reglada, haciendo el servicio de radiología finalmente Resonancia magnénica (RM) del hígado: Lesión en el lóbulo hepático izquierdo de 40 x 42 mm, localizada fundamentalmente en el segmento III y en localización subcapsular, que dada las características es compatible con una hiperplasia nodular focal.

Juicio clínico, diagnóstico diferencial, concordancia con el hospital (en su caso)

Dados los antecedentes de la paciente (edad y toma anticonceptivos orales) la imagen ecográfica inicial impresiona de hiperplasia nodular focal. El diagnóstico diferencial comprende otras lesiones focales en el hígado: hemangioma, adenoma, quiste, hepatocarcinoma, tumores metastásicos. En este caso la concordancia con la posterior RM hepática es total.

Decisiones adoptadas: tratamiento, planes de actuación

Se solicitó ecografía y se derivó a consultas de Digestivo.

Evolución y seguimiento

Paciente asintomática, se realizó finalmente RM que confirmó el hallazgo y no precisó seguimiento por parte de Digestivo una vez vista en consulta. 

Conclusiones y aplicabilidad para la medicina de familia

Paciente asintomática, en la que realizamos ecografía clínica por alteración de pruebas de función hepática y en la que nos encontramos con una hiperplasia nodular focal. Se trata del segundo tumor benigno más frecuente del hígado y suele cursar sin sintomatología acompañante. En este caso la ecografía clínica nos permite descartar patología responsable de la alteración analítica en la paciente y caracterizar la lesión hallada haciendo el diagnóstico diferencial con otras lesiones hepáticas. Posteriormente podremos realizar un seguimiento de la lesión para ver si aumenta de tamaño.

 


Comunicaciones y ponencias semFYC: 2025; Comunicaciones: Casos clínicos. ISSN: 2339-9333

Autores

Arbas Redondo, Néstor
CS La Calzada II. Gijón, Asturias
González González, Marta
CS La Calzada II. Gijón, Asturias
Martínez Solano, Josu
CS La Calzada II. Gijón, Asturias