V Jornadas de Ecografía de la semFYC
9 y 10 de febrero de 2024
Atención Primaria
Enfoque individual
Edad 63 años.
Antecedentes médicos: No antecedentes de interés.
Hábitos: Fumador de 1 paquete de cigarrilos al día desde hace más de 20 años.
Paciente refiere hematuria macroscópica de forma intermitente en las últimas tres semanas. No asocia disuria, tenesmo vesical, nicturia, fiebre, ni otros síntomas.
Hallazgos ecográficos
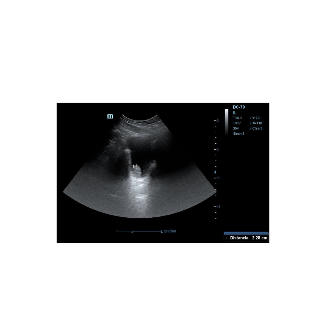
Es derivado a consulta de ecografía de nuestro centro de salud, donde realizamos Ecografía clinica abdominal, apreciándose imagen hiperecogénica pediculada en pared posterior izquierda de la vejiga vejiga, fija, que mide 2,26 mm aproximadamente en su eje mayor, sin captación Doppler.
Pruebas complementarias
Se realizó sedimento urinario que reportó positividad para Hematíes con tres cruces.
Juicio clínico, diagnóstico diferencial, identificación de problemas
Juicio clínico: Carcinoma Urotelial
Diagnóstico diferencial:
Tratamiento y planes de actuación
Se deriva al paciente con informe de ecografía clínica al servicio de urología de nuestro hospital de forma preferente.
Evolución
Tras ser derivado, realizan toma de Biopsia con hallazgo de: Carcinoma urotelial/Carcinoma de células transicionales, realizándose reseccion transuretral y quimioterapia intravesical posterior.
Cada vez más nos damos cuenta de la importancia que tiene la ecografía clínica en Atención Primaria, siendo este caso uno de tantos donde se ha detectado un síntoma en un paciente de riesgo, pudiendo realizarla en el menor tiempo posible y obteniéndose imágenes que ya de por sí son casi definitorias de la patología actual del paciente y que nos han permitido cordinar con el servicio de urología para el diagnóstico definitivo y tratamiento de forma urgente así evitando empeoramiento y las complicaciones asociadas.