V Jornadas de Ecografía de la semFYC

9 y 10 de febrero de 2024

Comunicaciones: Casos clínicos

No hay causa de hematuria que la sonda no descubra (póster)

Ámbito del caso

Atención Primaria.

Motivos de consulta

Macrohematuria objetivada en domicilio.

Historia clínica

Enfoque individual

Varón de 66 años, fumador de 20 cigarrillos/día, sin otros antecedentes de interés. Acude a consulta por episodios repetidos en el último mes de macrohematuria indolora sin síntomas del tracto urinario inferior asociados. Exploración física anodina y constantes dentro de la normalidad.

Dada la clínica que presenta el paciente, se decide ampliar estudios. Se solicita analítica (incluyendo PSA y coagulación) y sedimento de orina, urocultivo y tres muestras para citología de orina. En ese momento, y teniendo en cuenta la persistencia de los síntomas, se plantea al paciente la posibilidad de realizar una ecografía abdominal (incluyendo valoración renal y vesical) en el Centro de Salud. 

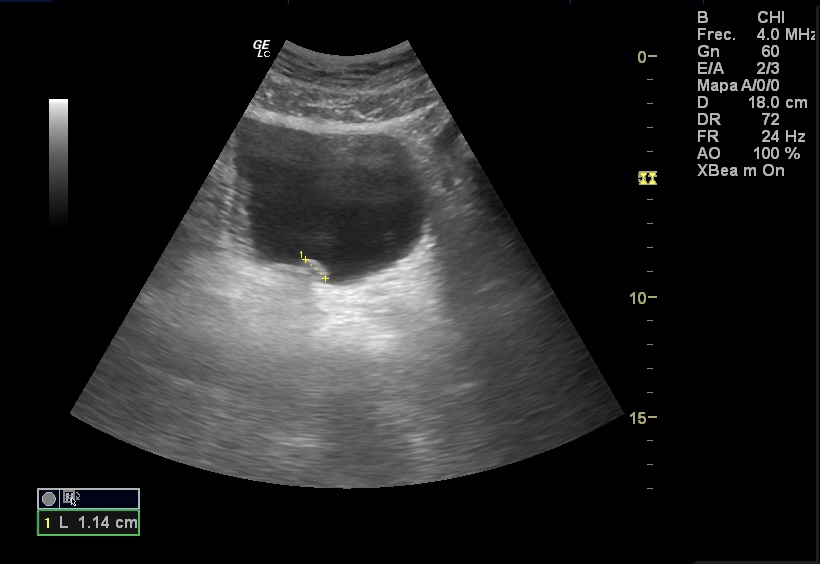
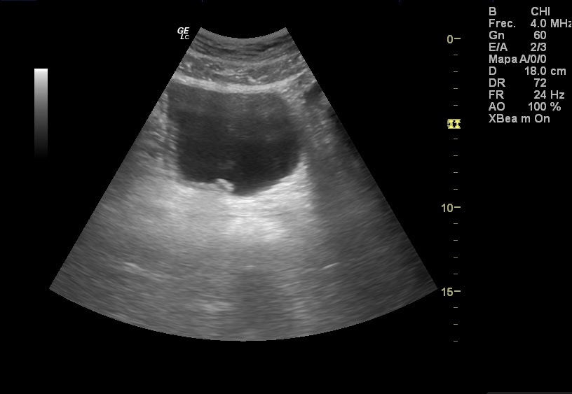
Hallazgos ecográficos

Ecografía abdominal y renal sin hallazgos. En la vejiga se aprecia una lesión polipoidea hiperecogénica irregular de bordes lobulados, de 1,23 cm de diámetro dependiente de la pared vesical en la región del trígono vesical.

Pruebas complementarias

Los resultados de la analítica resultan normales (incluida PSA y coagulación), en el sedimento urinario figura hematuria > 100 hematíes/campo. Urocultivo normal.

Juicio clínico, diagnóstico diferencial, identificación de problemas

En el diagnóstico diferencial de una masa vesical observada en ecografía debemos tener presente diversas entidades: neoplasia vesical, divertículos vesicales, coágulos de sangre, invaginación congénita de la pared vesical, entre otros.

Tratamiento y planes de actuación

Teniendo en cuenta los hallazgos analíticos y ecográficos, se decide derivación de forma preferente al Servicio de Urología para ampliar estudios y valoración por su parte.

Evolución

Varias semanas después, obtuvimos los resultados de las tres citologías solicitadas previamente. Su resultado era positivo para malignidad (carcinoma urotelial de alto grado). Se decidió comentar el caso verbalmente con los compañeros del Servicio de Urología, que adelantaron la cita programada del paciente. 

En la actualidad, se encuentra a la espera de realización de TC toracoabdominopélvico. 

Conclusiones (y aplicabilidad para la Medicina de Familia)

La posibilidad de realizar esta prueba de imagen en el Centro de Salud, en el mismo momento en el que el paciente consulta, permite realizar una orientación clínico-patológica más certera y mejorar la toma de decisiones, ahorrando tiempo en circunstancias en las que este apremia, como nuestro caso exigía.

 

Comunicaciones y ponencias semFYC: 2025; Comunicaciones: Casos clínicos. ISSN: 2339-9333

Autores

González González, Marta
CS La Calzada II. Gijón
Arbas Redondo, Néstor
CS La Calzada II. Gijón
Martínez Solano, Josu
CS La Calzada II. Gijón