Comunicaciones: Casos clínicos

Quiste de Baker (Póster)

Ámbito del caso (Atención Primaria, servicios de Urgencias o atención domiciliaria)

Atención Primaria.

Motivos de consulta

Gonalgia derecha postraumática.

Historia clínica

Antecedentes personales relevantes, anamnesis, exploración física y lugar que ocupa en ella la ecografía

Paciente de 62 años, sin alergias medicamentosas conocidas. Hipertensa y dislipémica. Gonartrosis bilateral, hipotiroidismo. Tratamiento previo: Levotiroxina 25 mcg, Vortioxetina 5 mg Atorvastatina 10 mg, Omeprazol 20 mg, Paracetamol 1 g y Enalapril/Hidroclorotiazida 20 mg/12,5 mg. Acude por dolor en rodilla derecha que irradia hacia gemelo desde hace un mes, a raíz de caída en la calle. Fue vista en Urgencias del centro de salud en varias ocasiones persistiendo el dolor pese a tratamiento médico. Exploración física: rodilla derecha sin tumefacción. No peloteo rotuliano. No dolor a la palpación de puntos óseos. No dolor en trayecto de ligamentos colaterales. Dolor a la palpación en interlínea articular interna y dolor a la palpación de cara posterior de rodilla. Limitación para flexión completa de rodilla derecha respecto a contralateral. Realizamos ecografía clínica de rodilla derecha. 

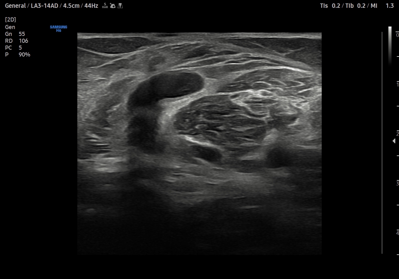
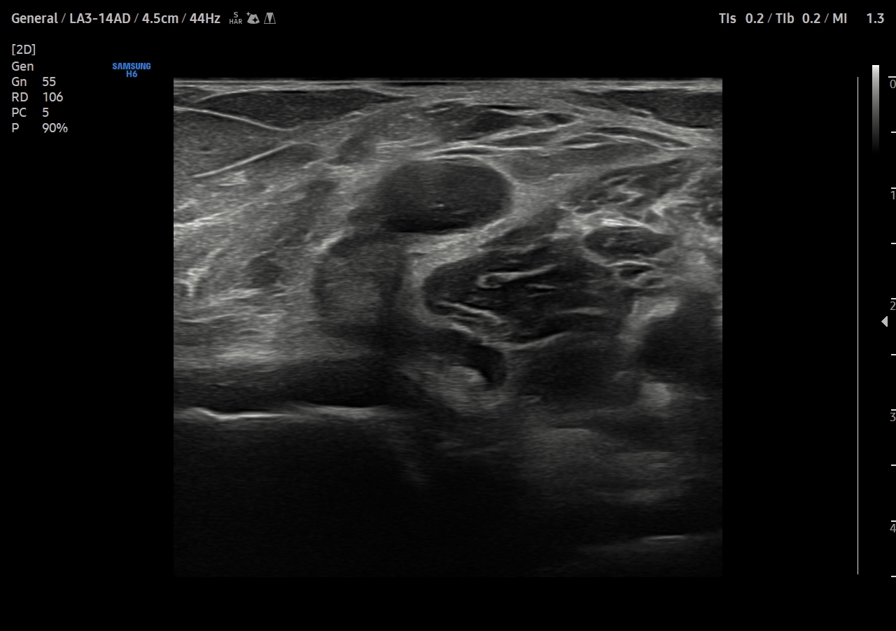
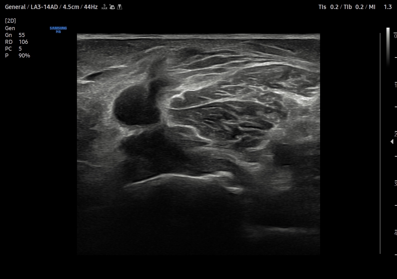
Descripción de los hallazgos ecográficos y las imágenes más relevantes para la resolución del caso

Se explora cara anterior, lateral y medial de rodilla sin hallazgos significativos. En cara posterior se explora el hueco poplíteo donde se visualiza en corte transversal una estructura hipoecoica con la base, el cuello entre el tendón del semimembranoso y el tendón de la cabeza medial del gemelo interno y el cuerpo. Sin signos de complicación. Permeabilidad del sistema venoso profundo.

Otras pruebas complementarias realizadas (si existen)

Al haber tenido un antecedente traumático completamos con radiografía: Adelgazamiento del cartílago articular en el compartimento femorotibial interno de ambas rodillas más acusado en la derecha. Pequeños osteofitos en el compartimento femorotibial externo de ambas rodillas. Osteofitos en la articulación femororrotuliana derecha. 

Juicio clínico, diagnóstico diferencial, concordancia con el hospital (en su caso)

Quiste de Baker.

Decisiones adoptadas: tratamiento, planes de actuación

Pautamos tratamiento antiinflamatorio y reposo relativo. Citamos de nuevo en consulta para ver evolución y si no hay mejoría realizar drenaje ecoguiado.

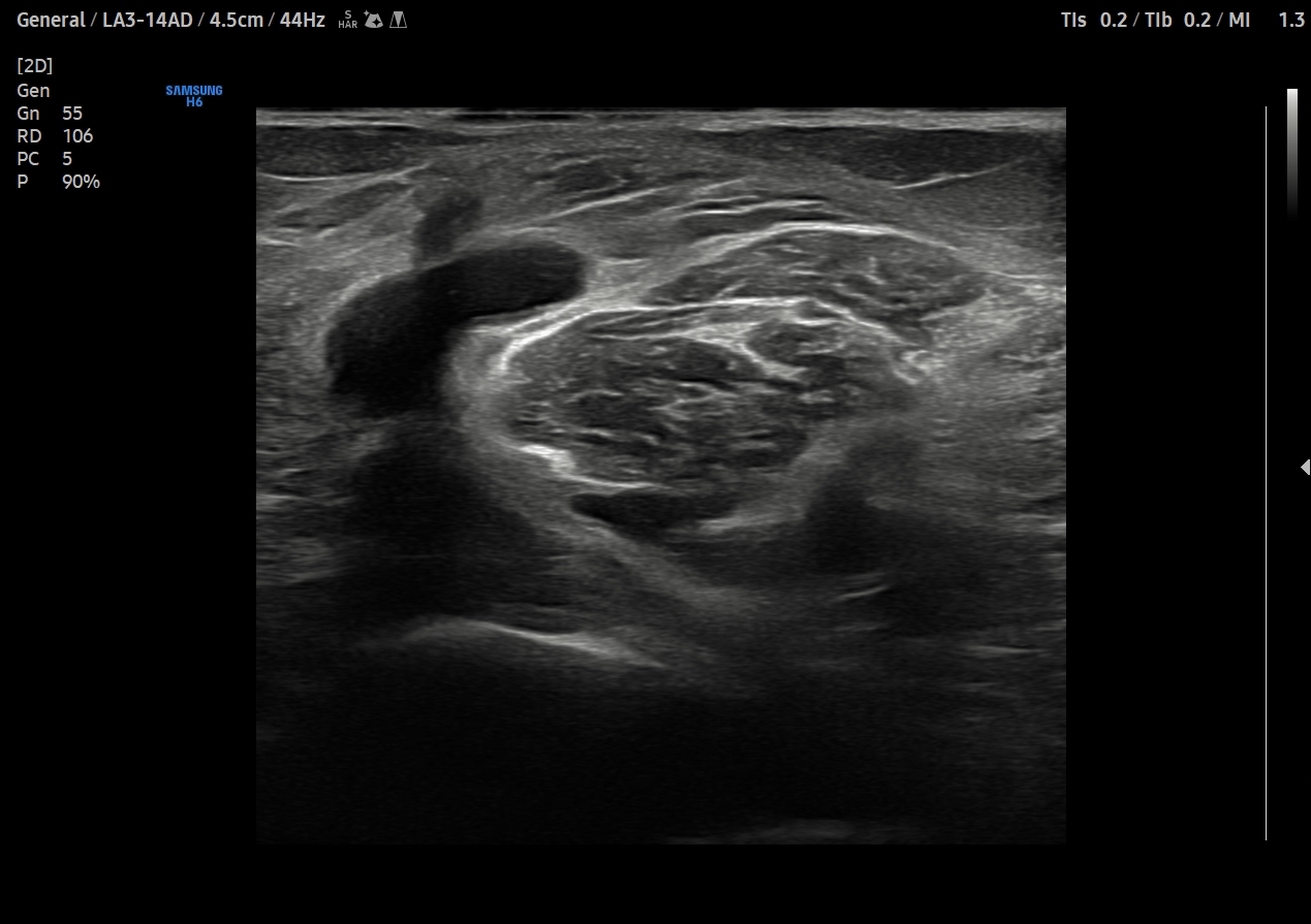
Evolución y seguimiento

En 15 días vemos de nuevo con mejoría de la sintomatología. Repetimos ecografía viendo menor cantidad de líquido por lo que mantenemos actitud.

Conclusiones y aplicabilidad para la medicina de familia

En este caso la ecografía nos permite complementar la exploración física y concretar el diagnóstico de la «gonalgia postraumática» inicial. Así mismo, y gracias a la longitudinalidad, nos permite evaluar de nuevo a la paciente repitiendo de nuevo la ecografía y valorando incluso si fuese necesario el drenaje ecoguiado del quiste.

 


Comunicaciones y ponencias semFYC: 2025; Comunicaciones: Casos clínicos. ISSN: 2339-9333

Autores

Arbas Redondo, Néstor
CS la Calzada II. Gijón, Asturias
Martínez Solano, Josu
CS la Calzada II. Gijón, Asturias
González González, Marta
CS la Calzada II. Gijón, Asturias