V Jornadas de Ecografía de la semFYC

9 y 10 de febrero de 2024

Comunicaciones: Casos clínicos

Sí, a veces la orina es roja. ¿Es importante? (póster)

Ámbito del caso

Atención Primaria.

Motivos de consulta

Hematuria.

Historia clínica

Enfoque individual

Antecedentes personales: Varón de 80 años, DM, HTA, DL, exfumador importante, IQ aneurisma de aorta. Acude a consulta para resultado de analítica de control anual, destacando hematuria de 200 hematíes/campo. El paciente refiere hematuria intermitente por la que no ha consultado previamente, sin otra clínica asociada. Se realiza ecografía ese mismo día.

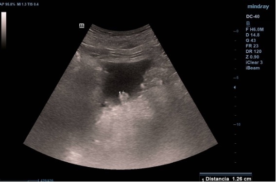
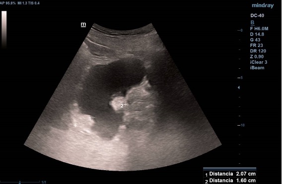
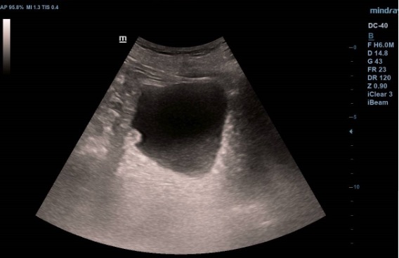
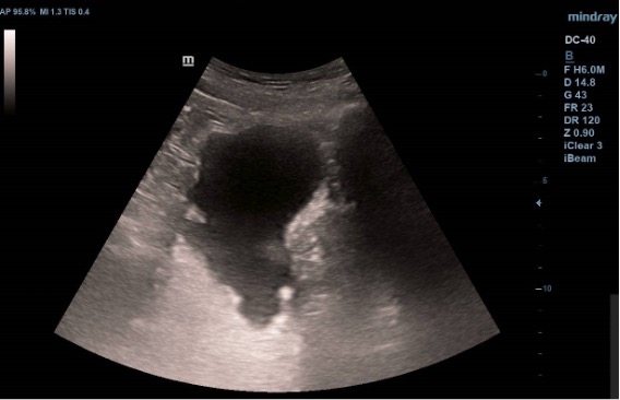
Hallazgos ecográficos

Ecografía vesical: Pared irregular, múltiples lesiones polipoides, la mayor (2.07 cm) en pared posteroinferior. Una lesión polipoiea dependiente de la próstata de 1,6 cm. Otra lesión más craneal en pared posterior de 1.26 cm, y cerca de uréter derecho una de 2 cm.  Además, varias lesiones polipoides más pequeñas en cara anterior y lateral derecha.

Pruebas complementarias

El resto de analítica sin hallazgos importante en el contexto. No hay anemia y la función renal sin alteración.

Juicio clínico, diagnóstico diferencial, identificación de problemas

Diagnóstico sospecha: Cáncer de vejiga.
Diagnóstico diferencial: Pseudohematuria, urolitiasis, infecciones, nefropatías, neoplasia.

Tratamiento y planes de actuación

Se deriva al paciente con sospecha de malignidad a Urología y se amplía el estudio desde Atención Primaria con citología. 

Evolución

La citología confirma un Carcinoma urotelial de alto grado. En el UroTC se confirman múltiples lesiones polipoides endoluminales sugestivas de neoplasia. El paciente está pendiente aún de completar el estudio para iniciar el tratamiento.

Conclusiones (y aplicabilidad para la Medicina de Familia)

La hematuria es una consulta y hallazgo frecuente en Atención Primaria. En pacientes mayores de 50 años, el 20% son causadas por tumores vesicales, especialmente en varones, exfumadores y/o con exposición a tóxicos ambientales. La ecografía alcanza una sensibilidad del 95% en la detección de tumores vesicales.  Es una técnica sencilla, rápida, que requiere poca formación y podría acortar significativamente el plazo de inicio del estudio sin tener que esperar a otros resultados como citología o ecografía en radiodiagnóstico. Acortar el tiempo hasta diagnóstico y tratamiento, modifica el pronóstico.

 


Comunicaciones y ponencias semFYC: 2025; Comunicaciones: Casos clínicos. ISSN: 2339-9333

Autores

De Boer X, Johanna Alida
CS La Chopera. Alcobendas. Madrid
Tortosa De Lucas, Carlos
CS La Chopera. Alcobendas. Madrid
Hernanz Lopez, Paula
CS La Chopera. Alcobendas. Madrid