V Jornadas de Ecografía de la semFYC
9 y 10 de febrero de 2024
Enfoque individual
Paciente de 59 años hipertiroideo (2014), hipercolesterolémico (2016) e hipertenso (2022).
Acude por diarrea líquida y malestar abdominal inespecífico de 10 días de evolución. No fiebre. Comenta consumo frecuente de antiinflamatorios por dolor lumbar recidivante y tos persistente desde hace un año que atribuye a medicación prescrita para hipertensión.
En exploración física presenta palidez cutánea, pérdida de peso (12 kg/año). Saturación 95%. AP: marcada hipoventilación derecha con crepitantes medio-basales. Abdomen sin hallazgos.
Conociendo la tendencia del paciente a minimizar síntomas y evidenciando un acusado cambio físico, realizamos ecografía intraconsulta.
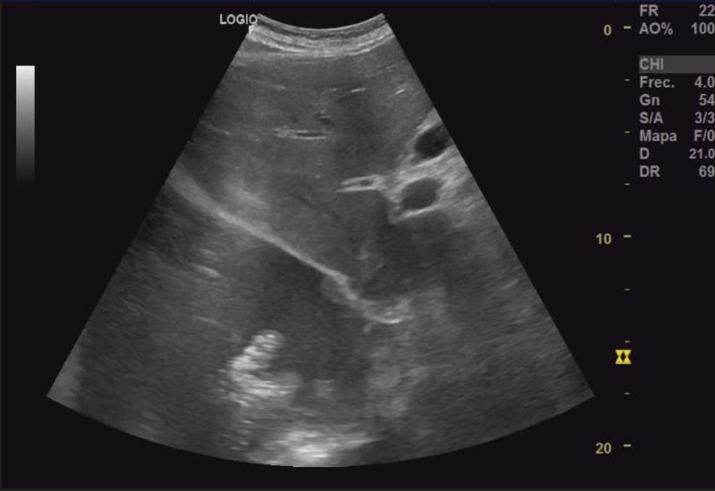
Hallazgos ecográficos
Importante colección anecoica supradiafragmática compatible con derrame pleural masivo (2/3 pulmón derecho), con flóculos ecogénicos (tongue-like sign) sugerentes de parénquima pulmonar atelectásico. Escasa colección anecoica pericárdica. Se identifica en riñón izquierdo una imagen heterogénea de bordes bien definidos en polo superior invadiendo pelvis, de unos 52x58x60 mm, con aumento de captación doppler.Pruebas complementarias
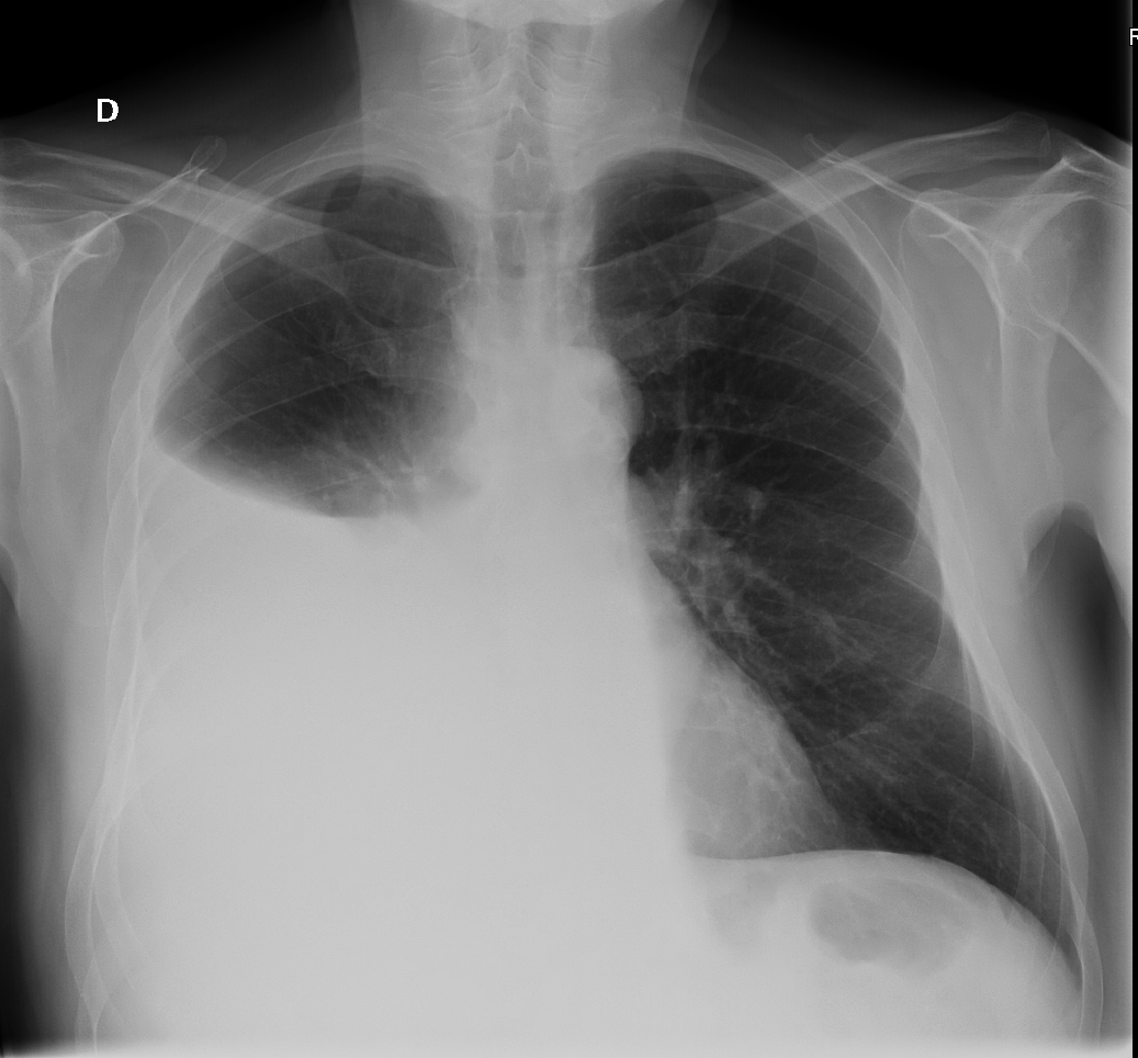
Rx torax: derrame pleural masivo que ocupa 2/3 campo pulmonar derecho.Juicio clínico, diagnóstico diferencial, identificación de problemas
Ante sospecha de carcinoma renal con derrame pleural paraneoplásico remitimos a urgencias para ingreso y estudio. En 48 horas se llega al diagnostico final de carcinoma de células claras renal estadio IV con afectación pulmonar, pleural, ganglionar y ósea grupo pronóstico intermedio.Tratamiento y planes de actuación
A los 4 días de la consulta se realiza toracentesis, a los 10 días inicia radioterapia sobre lesiones oseas y al mes inmunoterapia L1C4 Ipi/Nivo.Evolución
En la actualidad, remision parcial del dolor óseo tras radioterapia. Mantiene inmunoterapia con buena tolerancia.