V Jornadas de Ecografía de la semFYC

9 y 10 de febrero de 2024

Comunicaciones: Casos clínicos

Utilidad de la ecografía clínica para el diagnóstico diferencial de las adenopatías (póster)

Ámbito del caso

Atención Primaria

Motivos de consulta

Bultoma en región cervical.

Historia clínica

Enfoque individual

Varón de 15 años que consulta porque se había notado un bultoma en región laterocervical desde hacía dos semanas. 
Historiando al paciente refirió que una semana previa a notarse el bultoma se encontraba con malestar general, febrícula y odinofagia. 
El paciente no tenía ningún antecedente de interés y en el momento actual se encontraba con buen estado general, constantes normales y afebril. Faringe con amígdalas hipertróficas sin exudados ni placas, otoscopia ligero enrojecimeinto de tímpano derecho y oido izquierdo normal.
En región cervical palpamos ganglio aumentado de tamaño, de consistencia no pétrea, movible sin aumento de temperatura local.
Ante los hallazgos se decide pedir analítica general con hemograma y serología para virus Epstein barr y una ecografía clínica.

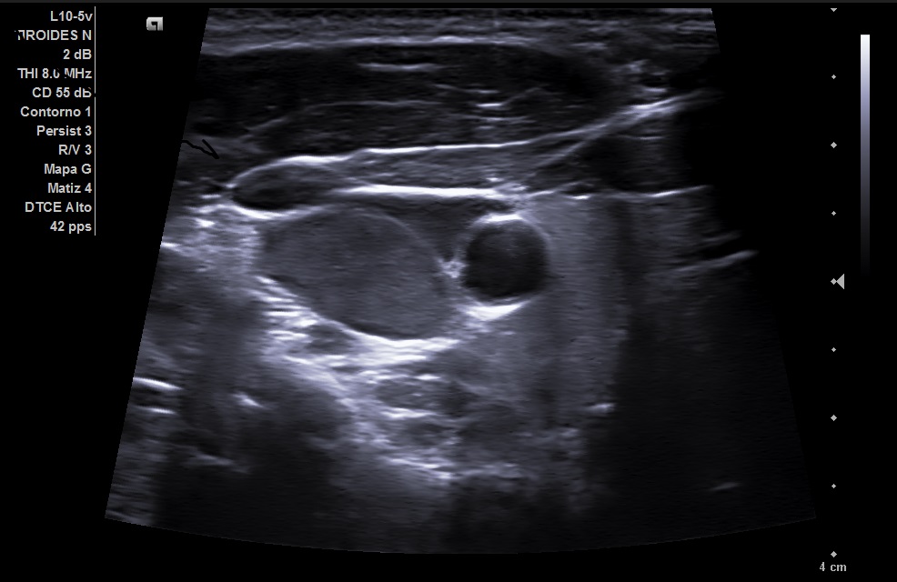
Hallazgos ecográficos

Se realizó en consulta una ecografia clínica, se colocó al paciente decúbito supino con ligera hiperextensión del cuello y tras palpar el bultoma se localizó con la sonda. Visualizamos en nivel 1 una imagen hipoecogénica ovalada de 22 mm con alteración de la estructura pero con hilio graso conservado y con aumento de vascularización compatible con adenopatía reactiva.

Pruebas complementarias

Analítica: bioquímica con parámetros dentro de la normalidad y hemograma y fórmula normales.
Serologia para virus Epstein Barr positiva.

Juicio clínico, diagnóstico diferencial, identificación de problemas

Adenopatía reactiva por mononucleosis infecciosa. 

Diagnóstico diferencial: quiste tirogloso, nódulo subcutáneo, adenopatía neoplásica por enfermedad hematológica o metastásica, inflamación de glándula salivares o sialoadenitis.

Tratamiento y planes de actuación

Ante los resultados de la ecografía clínica y la serología se desestimó realizar una PAAF y se trató al paciente como una adenopatía reactiva a proceso viral. Se le indicó tratamiento sintomático y seguimiento de la adenopatías durante las siguientes semanas. 

Evolución

La evolucion del paciente fue muy buena y en el trascurso de 5 semanas la adenopatia habia reducido tamaño sin ninguna complicación.

Conclusiones (y aplicabilidad para la Medicina de Familia)

La ecografía clínica es una herramienta muy útil para el Médico de Familia que puede adelantar el tiempo del diagnóstico, orientar las pruebas complementarias y el inicio del tratamiento así como descartar con buen criterio diagnósticos diferenciales posibles.


Comunicaciones y ponencias semFYC: 2025; Comunicaciones: Casos clínicos. ISSN: 2339-9333

Autores

Piñana Conesa, Carmen
CS Los Barreros. Cartagena
Cánovas Ruiz, Salvador
CS El Parchis. Cartagena
Castañeda Pérez-Crespo, Alba
CS San Antón. Cartagena