X Jornadas de Actualización en Medicina de Urgencias y VI Jornadas de Ecografía de la semFYC
6-7-8 de febrero de 2025
Servicio de urgencias.
Dolor y anestesia en la pierna derecha.
Enfoque individual: antecedentes personales, anamnesis, exploración, pruebas complementarias, etc.
Mujer de 93 años con: fibrilación auricular, enfermedad renal crónica y antecedentes de hemorragias digestivas por las cuales se le había suspendido la anticoagulación oral meses antes.
Motivo de consulta: Dolor súbito, frialdad y pérdida de sensibilidad en la extremidad inferior derecha (EID), con mejoría parcial durante el traslado.
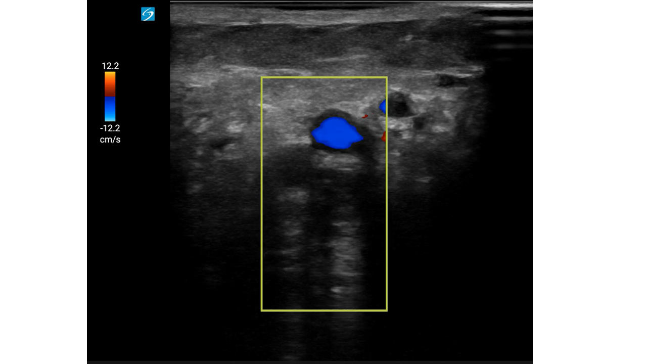
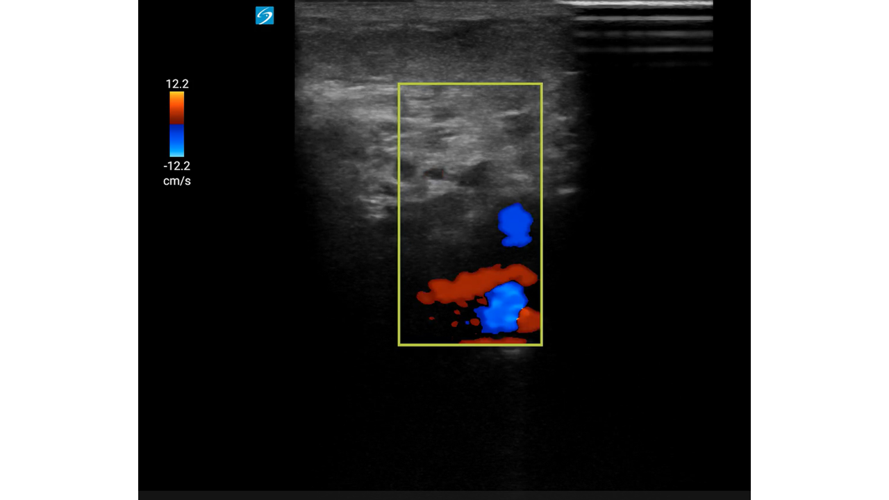
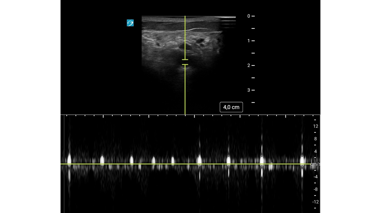
Hallazgos clave:
Enfoque familiar y comunitario: estudio de la familia y la comunidad (si fuese necesario)
La paciente es residente de una comunidad religiosa y cuenta con buen soporte sociofamiliar.
Juicio clínico, diagnóstico diferencial, identificación de problemas
Con mejoría del dolor y pulso poplíteo dudoso, se duda del diagnóstico.
Con sospecha inicial de Isquemia Arterial Aguda (IAA), la mejoría clínica hace dudar abriendo el diagnóstico diferencial a una posible radiculopatía.
Tratamiento y planes de actuación.
Con el diagnóstico de IAA se pauta analgesia, heparina de bajo peso molecular, posición de antitrendelenburg y se traslada a la paciente al Servicio de Cirugía Vascular de nuestro hospital de referencia, en cuyo ingreso se trata de forma conservadora con anticoagulantes.
Evolución
La paciente es dada de alta a los dos días.
La ecografía clínica forma parte de nuestro quehacer diario, y el programa de la especialidad 2024 de Medicina Familiar y Comunitaria le da un lugar preminente en la formación MIR.
Con sospecha clínica de IAA, la ecografía vascular es clave para confirmar el diagnóstico. Su curva de aprendizaje es rápida, se puede utilizar en cualquier punto del sistema y permite derivar al paciente a un centro útil evitando demoras potencialmente fatales.



